• Skip navigation
  • Skip to navigation
  • Skip to the bottom
Simulate organization breadcrumb open Simulate organization breadcrumb close
Chair of Visual Computing
  • FAUTo the central FAU website
  1. Friedrich-Alexander University
  2. Faculty of Engineering
  3. Department of Computer Science
Suche öffnen
  • Campo
  • StudOn
  • FAUdir
  • Jobs
  • Map
  • Help
  1. Friedrich-Alexander University
  2. Faculty of Engineering
  3. Department of Computer Science

Chair of Visual Computing

Navigation Navigation close
  • Research
    • Rendering and Visualization
    • Geometric Modeling and 3D Reconstruction
    • Virtual, Mixed, and Augmented Reality
    • Visual Computing for Digital Humanities and Social Sciences
    • Visual Healthcare Computing
    Research
  • Publications
  • Teaching
    • Vertiefungsrichtung Visual Computing
    • Winter term 2025/26
    • Summer Term 2025
    • Winter Term 2024/25
    • Theses
    Teaching
  • Staff
  • Arrival and Contact
  1. Home
  2. Publications
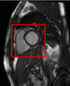
  3. Automated Heart Localization in Cardiac Cine MR Data

Automated Heart Localization in Cardiac Cine MR Data

In page navigation: Publications
  • Adaptive stray-light compensation in dynamic multi-projection mapping
  • Adaptive Temporal Sampling for Volumetric Path Tracing of Medical Data
  • Analytic Displacement Mapping using Hardware Tessellation
  • Anisotropic Surface Based Deformation
  • Auto-Calibration for Dynamic Multi-Projection Mapping on Arbitrary Surfaces
  • Automated Heart Localization in Cardiac Cine MR Data
  • Demo of Face2Face: Real-time Face Capture and Reenactment of RGB Videos
  • Enhanced Sphere Tracing
  • Evaluating the Usability of Recent Consumer-Grade 3D Input Devices
  • Face2Face: Real-time Face Capture and Reenactment of RGB Videos
  • FaceForge: Markerless Non-Rigid Face Multi-Projection Mapping
  • FaceInCar: Real-time Dense Monocular Face Tracking of a Driver
  • FaceVR: Real-Time Facial Reenactment and Eye Gaze Control in Virtual Reality
  • GroPBS: Fast Solver for Implicit Electrostatics of Biomolecules
  • Grundsätzliche Überlegungen zur Edition des Bestandes an Münzen der FAU als frei zugängliche Datenbank im WWW
  • HeadOn: Real-time Reenactment of Human Portrait Videos
  • Hierarchical Multi-Layer Screen-Space Ray Tracing
  • Hybrid Mono-Stereo Rendering in Virtual Reality
  • Interactive Model-based Reconstruction of the Human Head using an RGB-D Sensor
  • Interactive Painting and Lighting in Dynamic Multi-Projection Mapping
  • Learning Real-Time Ambient Occlusion from Distance Representations
  • Low-Cost Real-Time 3D Reconstruction of Large-Scale Excavation Sites using an RGB-D Camera
  • Multi-Layer Depth of Field Rendering with Tiled Splatting
  • Multi-Resolution Attributes for Hardware Tessellated Objects
  • Real-time 3D Reconstruction at Scale using Voxel Hashing
  • Real-time Collision Detection for Dynamic Hardware Tessellated Objects
  • Real-time Expression Transfer for Facial Reenactment
  • Real-time Local Displacement using Dynamic GPU Memory Management
  • Real-Time Pixel Luminance Optimization for Dynamic Multi-Projection Mapping
  • Reality Forge: Interactive Dynamic Multi-Projection Mapping
  • Robust Blending and Occlusion Compensation in Dynamic Multi-Projection Mapping
  • Shape Adaptive Cut Lines
  • Spherical Fibonacci Mapping
  • State of the Art Report on Real-time Rendering with Hardware Tessellation
  • Stray-Light Compensation in Dynamic Projection Mapping
  • Visualization and Deformation Techniques for Entertainment and Training in Cultural Heritage
  • VolumeDeform: Real-time Volumetric Non-rigid Reconstruction

Automated Heart Localization in Cardiac Cine MR Data


 

  • Hoffmann R., Kranz F., Siegl C., Janka RM., Grosso R., Greiner G.:
    Automated Heart Localization in Cardiac Cine MR Data
    In: Bildverarbeitung für die Medizin 2016, Springer, 2016, p. 116--121
    DOI: 10.1007/978-3-662-49465-3_22
    BibTeX: Download

Cardiac MRI is the modality of choice in cardiology for the assessment of the ventricular function, since the heart’s anatomy is visualized with high resolution. This functional assessment is a time-consuming task for the cardiac radiologist when performed manually. Therefore, computer-driven diagnostic solutions are of particular importance for clinical applications. In order to ensure the success of such computer aided diagnosis algorithms however, a correct, initial localisation of the heart region in the raw data is crucial. For this purpose, we present a novel, simple and fully automated approach for localizing the heart region in cardiac cine MR data. Without the need for prior knowledge or training datasets, this method enables a ready to use application for a robust localization. This processing step is a fundamental component for the development of integrated automated applications.

Chair of Visual Computing
(Lehrstuhl für Graphische Datenverarbeitung)

Cauerstraße 11
91058 Erlangen
Deutschland
  • Imprint
  • Privacy
  • Facebook
  • RSS Feed
  • Xing
Up